当前位置: 首页 / 走进卡若区 / 援藏工作 / 援藏专栏

“不能等!也不能转!就在这里手术!”天津援藏医生的仁心与担当……

2025年11月26日 11时10分

【字体:

打印本文

分享:

图片


日前,天津市津南医院柔性援藏医生、昌都市贡觉县人民医院普外科副主任杨坤收到了一封来自藏族同胞的感谢信。信中,质朴而深情的话语——“杨医生,是您给了江措第二次生命,我们全家都记着您的恩情!感谢国家派来这么好的医生,来到我们高原,守护我们的健康!”饱含着高原群众最纯粹、最深厚的感激之情。这背后,是一场与死神赛跑的生命救援。



一个多月前的清晨,17岁的藏族青年曲培江措骑摩托外出时,摩托车失控侧翻。他的腹部重重撞在坚硬的地面上,剧烈的疼痛让他蜷缩在地,无法起身,年轻的生命瞬间陷入绝境。心急如焚的家人火速将江措送往贡觉县人民医院急诊。

首份CT报告显示“未发现明显阳性结果”,看似“无大碍”的结论,却与江措持续加剧、痛不欲生的腹痛症状严重不符。此时,正在普外科值守的天津柔性援藏医生杨坤听闻了患者的特殊情况。作为一名有着多年临床经验的普外科专家,杨坤深知当地医疗条件有限,隐匿性损伤极易漏诊,而一旦延误,后果不堪设想。

杨坤立刻放下手中的工作,快步赶到江措的病床前。他一边用温和的语气安抚江措的情绪,一边俯下身细致查体,手指轻轻按压腹部各个部位,感受体征变化,同时反复追问受伤经过和症状细节。多年的临床积累让杨坤对疼痛信号有着极强的敏感度,江措痛苦的表情和体征反应,都在告诉他:“腹痛程度与CT结果严重不匹配,这里面肯定有问题,绝不能掉以轻心!”


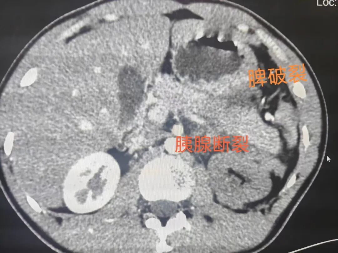
为了排查可能危及生命的隐匿损伤,杨坤当机立断:“立即安排强化CT检查,我亲自陪着去!”在他的全程陪同下,检查快速推进。结果出来的那一刻,所有人都倒吸一口凉气——江措胰腺尾部断裂、脾破裂、左侧肾上腺破裂,多脏器同时受损,已处于危急状态,必须马上进行手术治疗!

然而,新的难题接踵而至。此类多脏器损伤手术,操作难度极高,对医疗设备和技术水平都有严苛要求,而贡觉县人民医院的医疗条件相对有限;若想转入上级医院,至少需要一天一夜的路程,江措的身体根本无法承受长时间转运的颠簸和风险,随时可能因失血性休克、脏器衰竭而失去生命。

“不能等!也不能转!就在这里手术!”杨坤没有丝毫犹豫,语气坚定而有力。他立刻找到江措的家人,用通俗易懂的语言详细讲解病情的严重性、手术的必要性以及可能面临的风险。面对家属眼中的担忧与迷茫,杨坤郑重承诺:“请相信我们,我们会拼尽全力,保住孩子的命!”


承诺的背后,是沉甸甸的责任。杨坤立刻牵头,迅速组建手术团队,紧急协调手术室、麻醉科等多个科室联动配合。时间就是生命,大家争分夺秒,快速制定手术方案,调试手术设备,准备手术器械……整个医院的医疗力量都被调动起来,一场与死神赛跑的救援手术立即展开。

手术台上,杨坤凭借精湛的外科技术和稳定的心态,精准操作,仔细处理断裂的胰腺尾部,修补破裂的脾脏和肾上腺……手术室内,只有器械碰撞的清脆声响和医护人员沉稳的呼吸声,所有人都为了同一个目标——挽救江措的生命。

三个小时!当最后一针缝合完成,监护仪上显示江措的生命体征平稳时,手术室内的所有人才长长地舒了一口气,脸上露出疲惫而欣慰的笑容——江措,成功脱离生命危险!

术后,杨坤并没有放松警惕,每天早上都会来到病房,查看江措的恢复情况,询问饮食、睡眠状况等。在他和医护团队的精心照料下,江措的气色一天比一天好,身体逐渐康复。


杨坤医生的英勇事迹,是援藏医疗工作者无私奉献的一个缩影,他们跨越千里,来到高原,用自己的专业知识和爱心,为昌都群众的健康保驾护航。(记者 朱莹 魏健楠)

扫一扫在手机打开当前页

相关信息