当前位置: 首页 / 走进卡若区 / 援藏工作 / 援藏图片

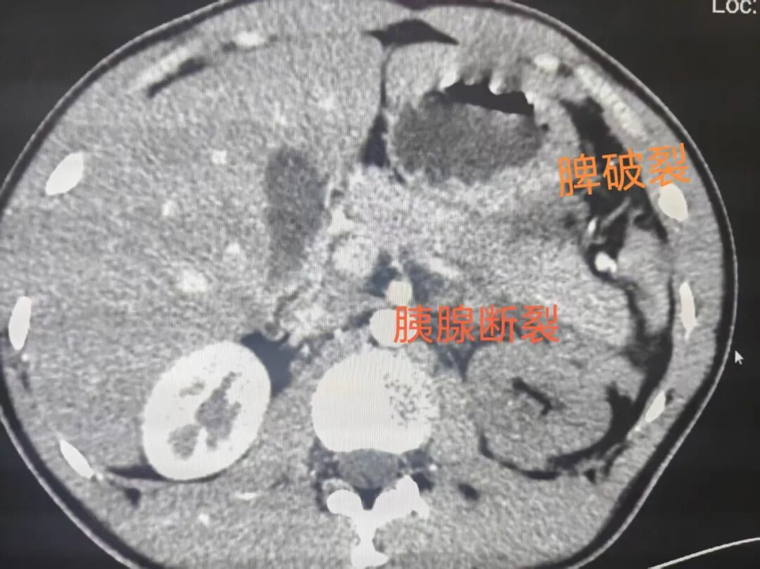
“不能等!也不能转!就在这里手术!”天津援藏医生的仁心与担当……

2025年11月26日 11时16分

【字体:

打印本文

分享:


扫一扫在手机打开当前页

相关信息